Сейчас этот форум просматривают: нет зарегистрированных пользователей и гости: 2
kolibri-mil писал(а) 07 апр 2017, 14:18:Никого не хотела обидеть
Мунтик писал(а) 07 апр 2017, 14:13:А где написано? Я и сейчас не вижу...
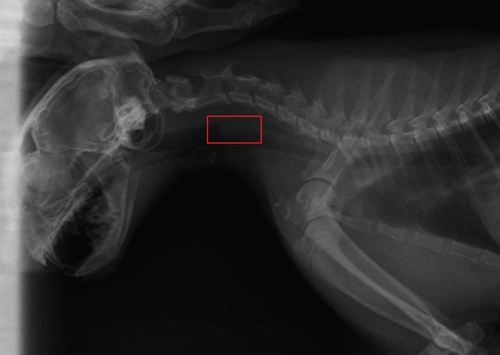
Наталья Key писал(а) 06 апр 2017, 17:40:Я за Алексея напишу. Он сейчас с Малышом идет на Узи к Иноземцевой. До этого делали рентген. Кот вел себя по-мужски. Дрался и сражался за независимость. Рентген вроде бы показал непонятный нарост на пищеводе. Самое плохое, что кот четыре дня не ест, не пьет. В туалет по-маленькому ходил несколько раз, в переноске выдавил несколько какашек и описался. Обезвоживание в начальной стадии.
E-Alex писал(а) 04 апр 2017, 14:30:Заболел Малыш ...... Поговорим о кошках43
Началось позавчера, несколько раз в день он издавал какие-то странные звуки, содрогаясь при этом всем телом. Было полное впечатление, что он хочет отрыгнуть шерсть, но почему-то у него это не получается.
А вчера это всё начало повторяться гораздо чаще, причем уже "очередями", т.е. не разовый звук, а серия штук по 5-7. Причем с такой вот судорогой прям по всей тушке, включая и живот, т.е. понять, что это он так кашляет - не было никакой возможности, была полная картина желудочного спазма. Но ведь отравиться-то он однозначно ничем не мог, всё убрано и заперто на 10 замков ....
И плюс ко всему, он весь день практически ничего не ел и не пил, лежал и дрыхнул всё время.
JamKit писал(а) 07 апр 2017, 14:27:Алексей, Вы просто напишите в одном слове, пожалуйста! Как Малыш?
E-Alex писал(а) 04 апр 2017, 14:30:НО !!!! Сразу же - завязывать обратно !!!!Заболел Малыш ...... Началось позавчера, несколько раз в день он издавал какие-то странные звуки, содрогаясь при этом всем телом. Было полное впечатление, что он хочет отрыгнуть шерсть, но почему-то у него это не получается.А вчера это всё начало повторяться гораздо чаще, причем уже "очередями", т.е. не разовый звук, а серия штук по 5-7. Причем с такой вот судорогой прям по всей тушке, включая и живот, т.е. понять, что это он так кашляет - не было никакой возможности, была полная картина желудочного спазма. Но ведь отравиться-то он однозначно ничем не мог, всё убрано и заперто на 10 замков ....И плюс ко всему, он весь день практически ничего не ел и не пил, лежал и дрыхнул всё время.
Крыся писал(а) 07 апр 2017, 14:31:Котёнку вводят раствор и пишется не всё и консультируются с врачами не только в Москве, но и в Питере.
E-Alex писал(а) 07 апр 2017, 14:26:Вот только непонятно, откуда все 4 дня взяли, 4ое и 5ое, а 6го ему уже в холку влили необходимое количество раствора.
Крыся писал(а) 07 апр 2017, 14:31:и пишется не всё и консультируются с врачами не только в Москве, но и в Питере.
Тарифа писал(а) 07 апр 2017, 10:13:Больная тема
g14 писал(а) 07 апр 2017, 14:44: Оля, ты можешь написать конкретно по какому диагнозу лечат? Хотя бы что подозревают?
Мунтик писал(а) 07 апр 2017, 19:16:Я бы спросила врачей про простой бульон из той же грудки с желтком, например. Вливать потихоньку, медленно, шприцом без иглы. Если это можно и он сможет проглотить, то придаст ему сил. Так же можно развести люой влажный корм, но это уже после, если усвоится бульон.
kolibri-mil писал(а) 07 апр 2017, 19:23:Извините, что опять встреваю,
kolibri-mil писал(а) 07 апр 2017, 19:23:Извините, что опять встреваю, но если котенок не ест, то нужно еще добавить глюкозу в инъекциях. Для поддержания сил.
Мунтик писал(а) 07 апр 2017, 19:25:kolibri-mil писал(а) 07 апр 2017, 19:23:Извините, что опять встреваю,
Счас приеду в Харьков
E-Alex писал(а) 07 апр 2017, 20:07:С бульоном понятно
E-Alex писал(а) 07 апр 2017, 20:07:Весь вопрос только в том, что вот вчера пробовал я давать ему воду из шприца непосредственно в пасть, но что он там проглотил, а что вылил обратно - баааальшой вопрос ...
E-Alex писал(а) 07 апр 2017, 20:07:но что он там проглотил, а что вылил обратно - баааальшой вопрос
Оксана39 писал(а) 07 апр 2017, 20:15:Хотя у вас Малыш далеко не смирный мальчик, надо чтобы кто-нибудь помог.
Anna_D писал(а) 07 апр 2017, 20:21: Главное - не задушить сгоряча
Anna_D писал(а) 07 апр 2017, 20:09: но я убеждена, что эта загогулина - это что-то, что Малыш проглотил и что смогло там застрять
прелесть какаяg14 писал(а) 07 апр 2017, 20:23:Anna_D писал(а) 07 апр 2017, 20:21: Главное - не задушить сгоряча
У меня обычно другой страх - не утопить.
Однозначно НЕТ !!!Anna_D писал(а) 07 апр 2017, 20:09:Алексей, наушники свои когда последний раз видели? Он их не разжевал случаем?
Страсти какие !!!! Не дай бог !!!!Anna_D писал(а) 07 апр 2017, 20:09:я убеждена, что эта загогулина - это что-то, что Малыш проглотил и что смогло там застрять, предварительно проткнув стенку пищевода.
Потому что пошло улучшение состояния даже на том минимальном наборе изначально назначенных 2х препаратов. Назначили еще именно противовоспалительных, и решили посмотреть, как сработает. Ибо из всего арсенала диагностики осталась одна только гастроскопия, которая, как я уже написал выше, чревата .....Anna_D писал(а) 07 апр 2017, 20:09:Можно подробнее, почему ждем именно воскресенья? А то что-то я не поняла от волнения.
Можно-то можно, вот только мало он пьет ....Мунтик писал(а) 07 апр 2017, 20:13:Если мяу сам пьёт, и жидкость не возвращается, то значит и шприцом можно.
Мне тоже наша ветка нравится.Хатхор писал(а) 07 апр 2017, 20:29:прелесть какая
E-Alex писал(а) 07 апр 2017, 20:29:попробую его со шприца попоить, и уже по результатам .
Не видно никакого инородного тела ни на рентгене ни на УЗИ .....Мунтик писал(а) 07 апр 2017, 20:32:Я тоже "за" инородное тело
По результатам выпаивания, будет ли хоть что-то глотать.g14 писал(а) 07 апр 2017, 20:33:Что по результатам? У вас вариант кроме шприца только зонд.
E-Alex писал(а) 07 апр 2017, 20:37:Не видно никакого инородного тела ни на рентгене ни на УЗИ .....Мунтик писал(а) 07 апр 2017, 20:32:Я тоже "за" инородное тело
Оксана39 писал(а) 07 апр 2017, 20:15:Я для выпаивания всегда беру очень большой шприц, мне так удобней. Хотя у вас Малыш далеко не смирный мальчик, надо чтобы кто-нибудь помог.
Список форумов ‹ Работа, Бизнес, Недвижимость, Спорт, Домашнее хозяйство ‹ Квартира, дом, дача. Домашние животные ‹ Домашние животные, комнатные растения. Поиск помощников и уборщиц
